Similar to what are observed in the centres of vortices cosmic structures form knots at their centres
...

The arms of 3D spirals may twist to form complex knots

One may observe the formation of 3D spirals at the heart of the galaxies, or clusters of galaxies, or inside the stars. The arms of the spiral structures may twist in 3-space and form knots and loops. Such knots will form fractal structures. In fact, the knots could themselves be fractals, which means that similar knots are embedded inside each other in a hierarchical manner. Such knot formation can also be seen at the heart of vortices driven by purely kinematic energies imparted from higher to the lower scales. In the cosmic arena the magnetic forces could also join  the kinematic forces in the formatiojn of the knot structures.

While the very central core may develop a knot, formed of rope-like coiled filaments by generating interlinking loops, at higher scale the strcuture may appear as being generated by bending and twisting of surfaces, which follow the spiral movements. These sheets are arranged in fractal manner and envelop the core of the strcutures as dual envelopes, which are seen in many cosmic objects at different scales. In many cases the knot formation can be seen to proceed by the method of interactions of two spiral stuctures, which form two interlinked loops. As the loops tighten the dual spirals may turn into 3D knots.

 

The way two spiral may interact and form two loops, which in turn form a knotr structure, is shown.
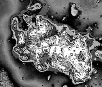
The 3D spiral knot at the heart of Ngc 1275, which form the cental structure of the perseus supercluster.
The knotty structure which can be seen at the centre of a vortex created by kinematic forcing.
Interactions of spirals and the formation of the knot at the centre of an atmospheric hurricane.
Interactions of spirals at the core of the Milky Wat galaxy: The size is about 10 light years.
The spiral turing into a 3D knot at the centre of Ngc 5273 galaxy with high nuclear activities.
The knot seen at the position of SgrA* where a black-hole is supposed to reside.
Sheets twisting and bending  at the centre of the Hydra supercluster of galaxies.

 

See how the knots may form and break up by ejecting structures

Copyright ©2006 Anup  Rej, All Rights Reserved.

 

Back to our Home Page